Saltar al contenido principal
Clínica Dental Sada Borrás

CLÍNICA DENTAL
SADA BORRÁS

"Tu clínica dental de confianza en Pamplona y Tafalla"

Llevamos más de cuatro décadas acompañando a familias de Navarra en cada etapa de su salud dental. Nos mueve la cercanía, la formación continua y el compromiso de tratarte como nos gustaría que nos tratasen a nosotros.

+0

Pacientes
Atendidos

0

Años de
Experiencia

0

Profesionales
a tu disposición

0

Metros cuadrados
de instalaciones

Lo que mejor Sabemos Hacer

En Clínica Dental Sada Borrás ofrecemos un servicio dental completo, desde la prevención y la higiene hasta la odontología restauradora, estética e implantología. Todos los tratamientos están disponibles en nuestras clínicas de Pamplona y Tafalla. Nuestro equipo te espera.

Implantología

  • Implantes de titanio biocompatibles
  • Regeneración ósea guiada
  • Carga inmediata en casos seleccionados
Implantología

Cirugía Oral

  • Extracciones y muelas del juicio
  • Limpiezas profundas y raspado radicular
  • Regeneración ósea guiada
Cirugía Oral

Odontología Conservadora

  • Empastes de composite estético
  • Reconstrucciones dentales
  • Incrustaciones cerámicas
Odontología Conservadora

Estética Dental

  • Carillas de porcelana
  • Diseño digital de sonrisa
  • Resultados naturales y duraderos
Estética Dental

Odontopediatría

  • Atención especializada para niños
  • Prevención de caries infantil
  • Ambiente adaptado y sin estrés
Odontopediatría

Tratamiento RMR

  • Rehabilitación masticatoria
  • Mejora de la respiración nasal
  • Corrección de hábitos orales
Tratamiento RMR

Estética Facial

  • Rellenos con ácido hialurónico
  • Tratamiento de arrugas con toxina
  • Rejuvenecimiento natural
Estética Facial

Ortodoncia

  • Alineadores invisibles
  • Brackets metálicos y estéticos
  • Ortodoncia para adultos y niños
Ortodoncia

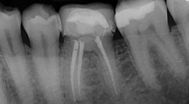
Endodoncia

  • Tratamientos de conductos
  • Salvamos dientes comprometidos
  • Técnicas con microscopio
Endodoncia

Prótesis

  • Prótesis fijas sobre implantes
  • Prótesis removibles
  • Rehabilitaciones completas
Prótesis

Prevención e Higiene

  • Limpiezas dentales profesionales
  • Fluorización y selladores
  • Enseñanza de higiene oral
Prevención e Higiene

Blanqueamiento

  • Blanqueamiento LED en clínica
  • Tratamiento ambulatorio en casa
  • Resultados visibles desde primera sesión
Blanqueamiento

¿No encuentras lo que buscas? Contáctanos y te ayudaremos.

Pedir información

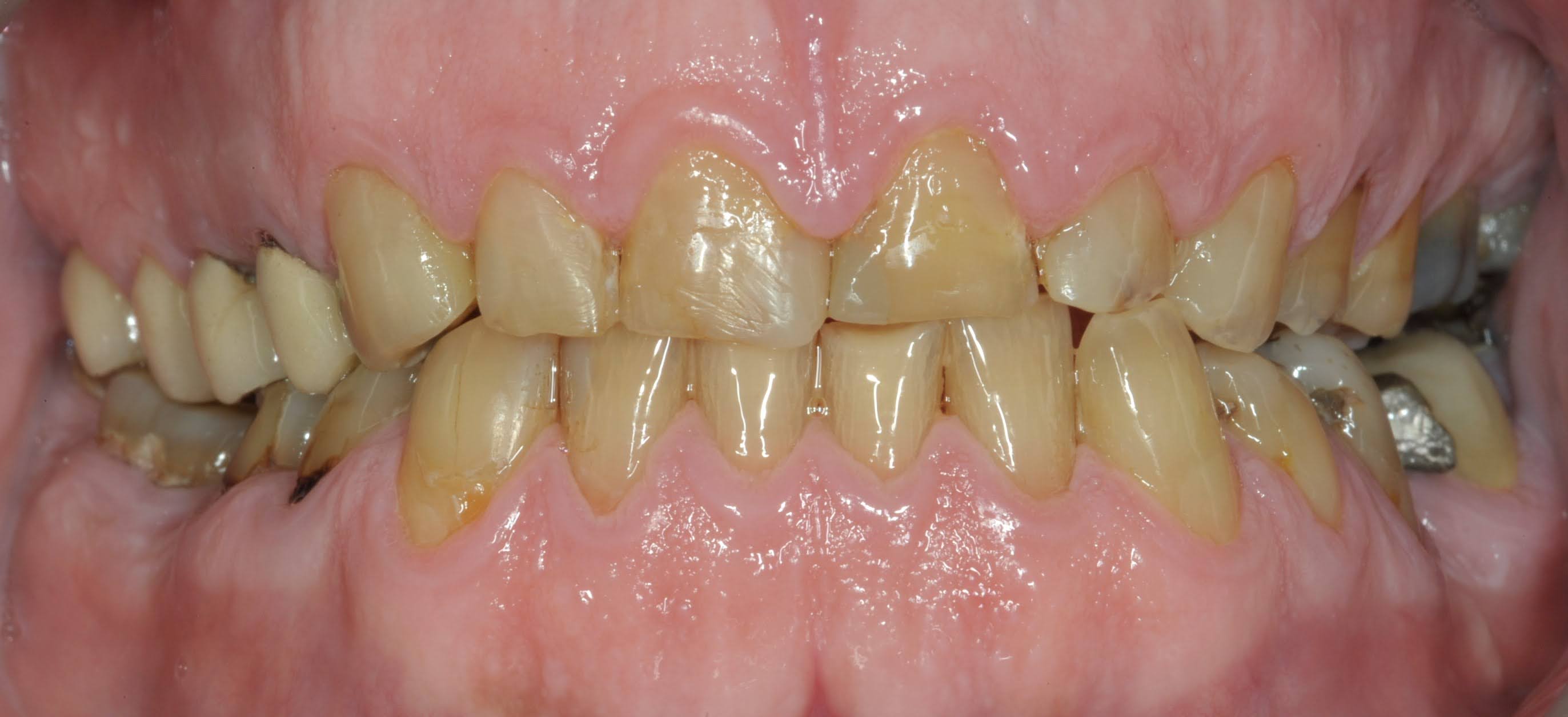
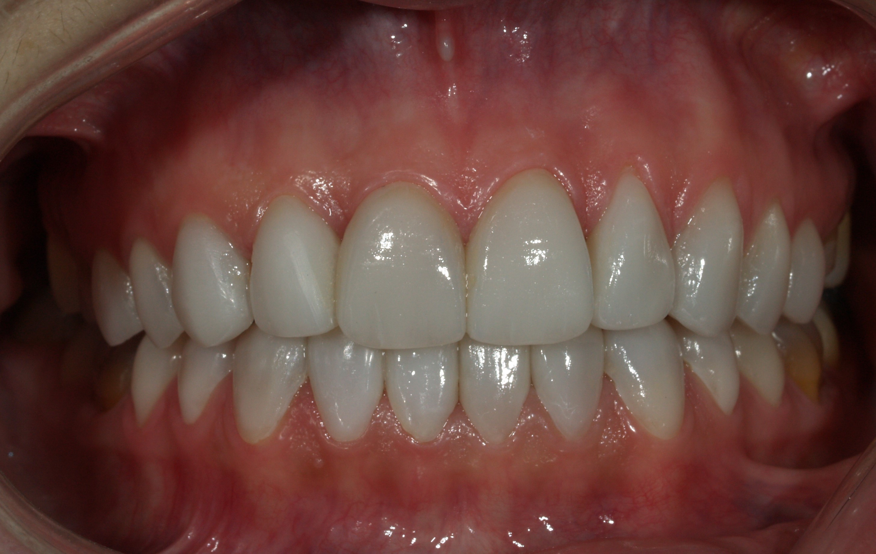
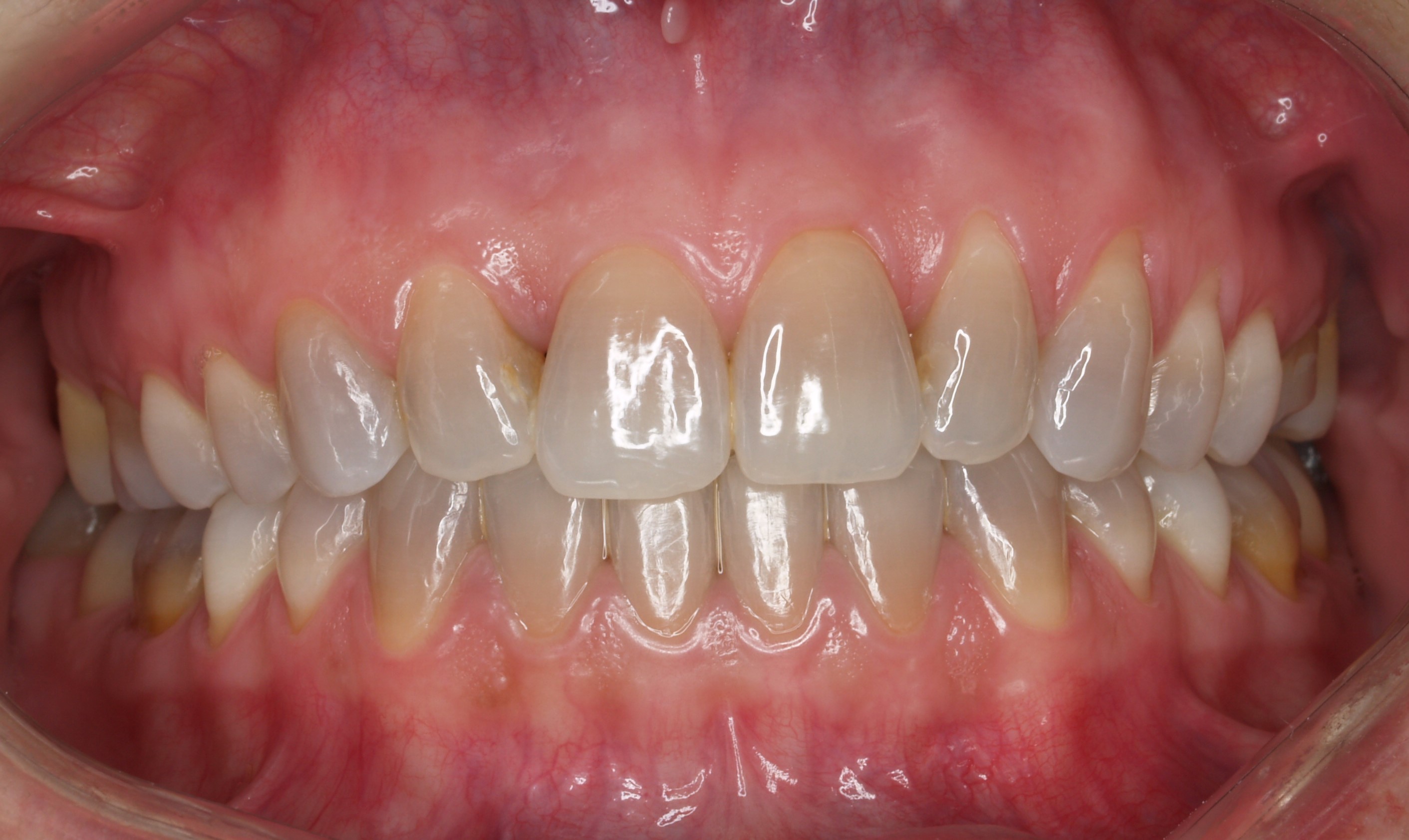
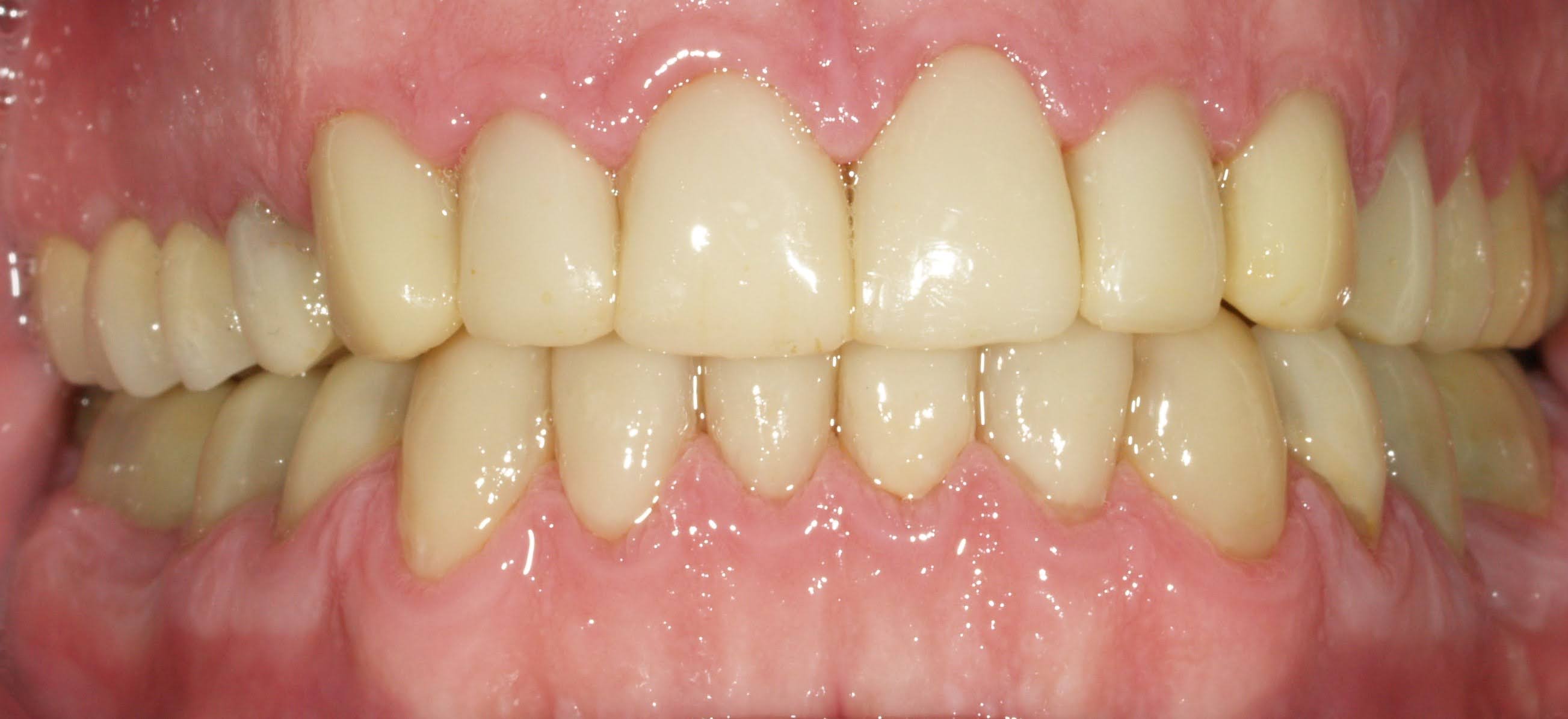
Resultados reales de nuestros pacientes

Explora cambios documentados antes y después: salud, función y estética que se notan. En cada caso diseñamos un plan a medida y, cuando conviene, coordinamos a varias especialidades.

Seleccionamos la técnica adecuada para cada persona y, cuando hace falta, intervenimos de forma multidisciplinar.

Carillas de composite

Carillas de composite - Antes Carillas de composite - Después
ANTES
DESPUÉS

Carillas de porcelana

Carillas de porcelana - Antes Carillas de porcelana - Después
ANTES
DESPUÉS

Blanqueamiento

Blanqueamiento - Antes Blanqueamiento - Después
ANTES
DESPUÉS

RMR

RMR - Antes RMR - Después
ANTES
DESPUÉS

Clínica Dental Sada Borrás

★★★★☆
4.7

19 reseñas Google

Escribe una reseña

Espacios pensados para ti

Clínica Dental Sada Borrás

Con más de 40 años de experiencia y un equipo en formación continua, trabajamos con tecnología de última generación y técnicas actuales en unas instalaciones cuidadas, pensadas para que te sientas en buenas manos y vivas una experiencia cómoda y sencilla, como en casa.

Pamplona

Avenida Pío XII, 8, bajo

C.P. 31008 - Pamplona

Tafalla

Diputación Foral, 2 - 2º C y D

C.P. 31300 - Tafalla

Fondo clínica dental

¿Tienes alguna duda? Contáctanos

Te escuchamos y estudiamos tu caso para proponerte la opción que mejor encaje contigo, cuidando salud, función y estética.